Planmeca Romexis® ist eine flexible und leistungsstarke Softwareplattform für Windows und MacOS mit umfangreichen, hochentwickelten Funktionen. Die All-in-one-Plattform vereint alle digitalen Arbeitsschritte, Daten und Werkzeuge aus den Bereichen 2D- und 3D-Bildgebung sowie CAD/CAM in einer Software. Damit ist sie für eine große Bandbreite an Indikationen in Zahnarztpraxen jeder Größe geeignet.
Ein Workflow-Assistent und die intuitive Benutzeroberfläche helfen dabei, Komplexes einfach zu machen. Funktionsleisten, Ansichten und Fenster passen Sie nach Ihrem Geschmack an. Sie bestimmen, wer etwas sehen darf, und können alle Daten in offenen Standards importieren und exportieren. Während Sie wissen, dass Romexis® alles sicher und rechtskonform verwaltet, können Sie sich einfach um anderes kümmern.
Die überarbeitete Version 6 überzeugt mit einem verbesserten Design, erhöhter Benutzerfreundlichkeit sowie einer größeren Auswahl an Werkzeugen und Funktionen. Die Romexis®-Software unterstützt die direkten Bildgebungs- und Scanvorgänge mit Planmeca-Geräten sowie die Herstellung von Direktapplikationen und Restaurationen mit Planmeca-Fräseinheiten und 3D-Druckern.
24.01.2018
Das Team der Zahngesundheit in Frechen setzt in ihren neuen Räumen komplett auf digitale Lösungen von Planmeca. Verbunden werden alle Komponenten dabei über die Romexis® Software.
Von den Vorteilen des vollintegrierten digitalen Workflows rund um die Software Romexis® können sich Kolleginnen und Kollegen selbst vor Ort in der Praxis überzeugen.

Die Inhaber der Zahngesundheit Frechen (von links nach rechts): Maximilian von Kleinsorgen, Yvonne Reinartz und Dr. Jürgen Schmitz
Zahngesundheit Frechen
Hubert-Prott-Straße 150
50226 Frechen
www.zahngesundheit-frechen.de
Schwerpunkte: Allgemein, Implantologie, digitaler Workflow, Kieferorthopädie
Am besten wendet man sich mit einem Konzept an einen Partner und sucht gemeinsam nach Lösungen. Mit dem NWD Team (jetzt: Plandent) rund um Michael Beckers hatten wir auf jeden Fall die richtigen Partner an unserer Seite!
Ganz in der Nähe der bisherigen Praxis wurde die Zahngesundheit Frechen um einen hochmodernen Komplex mit fünf Behandlungsräumen erweitert. Dabei setzt das Team um die Inhaber Yvonne Reinartz, Dr. Jürgen Schmitz und Maximilian von Kleinsorgen voll und ganz auf Planmeca.
Der finnische Hersteller bietet den kompletten digitalen Workflow aus einer Hand: Vom digitalen Abdruck mit dem Intraoralscanner Emerald S hin zur fertigen Restauration aus der Fräseinheit PlanMill 40 S kann das Team alle Schritte in der eigenen Praxis erledigen.
Mit der Planmeca Romexis®-Softwareplattform werden alle klinischen Bilder in einer Datenbank gespeichert. Alle Patientendaten können mühelos mit anderen Mitarbeitern der Praxis, externen Fachspezialisten und Dentallaboren durch den sicheren, cloudbasierten Übertragungsservice geteilt werden. Romexis® unterstützt standortübergreifende Lösungen, indem es eine Master-Datenbank mit lokalen Datenbanken verbindet.
Externe Partner
Planmeca Romexis® Cloud ist ein sicherer Bildübertragungsservice für Romexis®-Benutzer und deren Partner. Durch diesen Service können Sie Bilder, CAD/CAM-Fälle oder Patientendaten bequem mit Fachspezialisten oder Patienten teilen.
Die Highlights von Plameca Romexis® 6:
Systemvoraussetzungen von Plameca Romexis® 6:
Planmeca Romexis® ist eine äußerst flexible Software, die sowohl für Windows als auch für Mac erhältlich ist. Damit Sie die Romexis® Software perfekt nutzen können, prüfen Sie bitte, ob Ihre IT die Systemvoraussetzungen hinsichtlich Betriebssystem, Grafikkarte, Arbeitsspeicher, Prozessorleistung und Festplattenkapazität erfüllt.
29.04.2020
Die Romexis-Software ermöglicht die Erfassung, Betrachtung und Verarbeitung aller Arten von Daten im derselben System – mit allen 2D- und 3D-Bildern und CAD/CAM-Fällen in derselben Datenbank.
Romexis wurde offen für die Integration gestaltet. Es ist einfach, 2D- und 3D-Bilder in branchenüblichen Formaten wie JPEG, DICOM und STL zu importieren und exportieren oder Daten direkt in Software von Drittanbietern aufzurufen.
Romexis wurde für die Bildgebungsbedürfnisse moderner Kliniken entwickelt. Wir haben die üblichsten Arbeitsabläufe optimiert, um sicherzustellen, dass alltägliche Aufgaben schnell mit möglichst wenigen Klicks erledigt werden können.
Da es sich bei Romexis um eine vernetzte Softwareplattform handelt, sind alle Bilder und Behandlungspläne sofort auf verschiedenen Arbeitsplatzgeräten verfügbar.
Romexis passt sich Ihren Bedürfnissen an – von der Einzelpraxis bis zu einem großen Krankenhaus oder einer Gemeinschaftspraxis. Beginnen Sie mit dem, was Sie brauchen, und fügen Sie später weitere Benutzer und optionale Module hinzu.
Mit der Bildgebungs-App mRomexis™, der Viewer App und der Romexis® Cloud können Sie Röntgenbilder ganz einfach mobil aufnehmen, ansehen und teilen.
Planmeca bietet für die digitale Zahnmedizin eine Komplettlösung, die für einen effizienten Arbeitsablauf und eine bessere Patientenversorgung entwickelt worden ist. Alle Planmeca-Behandlungseinheiten, Bildgebungsgeräte und CAD/CAM-Lösungen können mit einer Softwareplattform vernetzt werden, um die tägliche Effizienz Ihrer Klinik oder Praxis zu verbessern.
Alle Geräte und Software von einem Hersteller
Planmeca liefert alles, was Sie in Ihrer Klinik oder Praxis brauchen – von weltweit führenden Behandlungs- und Bildgebungseinheiten bis hin zu innovativen CAD/CAM- und Softwarelösungen. Alle Geräte und Softwareprodukte sind auf außergewöhnliche Benutzerfreundlichkeit ausgelegt und bieten Zahnkliniken und Praxen einen reibungs- und mühelosen Übergang in die Welt der digitalen Zahnmedizin.
Vernetzte Geräte – eine Software
Alle Behandlungseinheiten, Bildgebungsgeräte und CAD/CAM-Lösungen von Planmeca können mit einer Softwareplattform auf IOS oder Windows vernetzt werden. Durch diese intelligente Komplettlösung können Kliniken/Praxen wertvolle Daten über ihre digitalen Geräte generieren – und somit ihren Arbeitsablauf optimieren und sich vollständig auf die Patientenversorgung konzentrieren.
Hauptvorteile
Planmecas All-in-one-Konzept vereint Behandlungseinheiten,
CAD/CAM-Lösungen, Bildgebungsgeräte, Infektionsschutz und Klinikmanagementlösungen in einer umfassenden Softwareplattform und sorgt für erhebliche Kosteneinsparungen durch zentralisierte Software, Qualitätssicherung und präventive Instandhaltung.
Ein zukunftssicheres Konzept – eine plattformbasierte Lösung
mit ausgezeichneter Nachrüstbarkeit.

Planmeca Romexis® ist ein einzigartiges Bildgebungsprogramm, das alle Arten von zahnmedizinischer Bildgebung von 2D und 3D bis CAD/CAM unterstützt. Alle Daten können in einer benutzerfreundlichen Softwareplattform aufgenommen, betrachtet und diagnostiziert sowie in einer zentralen Datenbank gespeichert werden.
Einfaches Bildgebungsprogramm für alle Anforderungen
Planmeca Romexis® bietet für alle Fachbereiche effiziente Werkzeuge, um eine genaue Behandlungsplanung zu ermöglichen. Die Software bietet Werkzeuge sogar zur Gestaltung von Bohrschablonen, Schienen, Zahnmodellen und Restaurationen für den hauseigenen 3D-Druck oder Fräsen. Die Software ist für eine einfache und effiziente Bedienung ausgelegt und lässt sich an alle Benutzerbedürfnisse anpassen.
Offen und integriert
Planmeca Romexis® ist eine offene Softwareplattform, die mit einer Vielzahl an Praxisverwaltungs- und Bildbearbeitungsprogrammen von Drittanbietern verbunden werden kann. Alle 2D-, 3D- und CAD/CAM-Daten können ohne Zuschlagsgebühr aus der Software im Standardformat exportiert werden. Alle Bilder im Standardformat können auch in Romexis® importiert werden. Die Software unterstützt den DICOM-3.0-Standard, welcher die Verbindung zu Krankenhaussystemen ermöglicht.
Zentrale Datenbank
Bildgebungsgeräte anderer Hersteller können über den TWAIN-Standard direkt an Romexis® angeschlossen werden. Die Romexis®-Datenbank kann Bilder von Fremdgeräten durch den DICOM-Standard empfangen und somit auch als zentrales geräteunabhängiges Bildarchiv verwendet werden.
Alle Aufnahmearten
• 2D-Röntgenaufnahmen
• Fotos
• DVT-Aufnahmen
• Intraorale 3D-Scans
• 3D-Fotos
• TWAIN-Geräte
• 4D-Kieferbewegungs-aufzeichnungen
Alle Fachgebiete
• Radiologie
• Implantologie
• Zahnprothetik
• Kieferorthopädie
• Endodontie
• MKG-Chirurgie
• HNO
• Parodontologie
• Ästhetische Zahnheilkunde
Alle Praxisgrößen
• Privatpraxen mit einem Behandlungsraum
• Kliniken mittlerer Größe
• Praxen mit mehreren Standorten
• Krankenhäuser und Universitäten
Alle Plattformen
• Native Unterstützung für Windows und Mac
• Planmeca mRomexis™-Applikation für mobile Bildgebung
auf iOS und Android
• Planmeca Romexis® Cloud-Bildtransfersystem
Die wegweisende Planmeca Romexis®-Software bietet spezielle Werkzeuge für Implantologen, Endodontologen, Parodontologen, Prothetiker, Kieferorthopäden, MKG-Chirurgen und Radiologen. Sie können Ihre Aufnahmen auch über die mobilen Apps betrachten und eine herausragende Kompatibilität mit anderen Systemen genießen.
Hervorragende Werkzeuge für hochwertige Aufnahmen
Mit einer umfangreichen Auswahl an Werkzeugen zur Sichtung, Optimierung, Messung, Zeichnung und Anmerkung von Aufnahmen optimiert Planmeca Romexis® den diagnostischen Gehalt des Röntgenbildes. Vielseitiges Ausdrucken sowie Import- und Exportfunktionen für die Aufnahmen sind ebenfalls vorhanden. Die Software umfasst verschiedene Module – so können Sie die Software Ihren Bedürfnissen entsprechend anpassen.

Komfortable 3D-Diagnose
Die 3D-Rendering-Funktion von Planmeca Romexis® liefert einen sofortigen Überblick über die Anatomie und eignet sich hervorragend für den Einsatz im Patientengespräch. Die Bilder können sofort aus unterschiedlichen Positionen betrachtet werden oder in Panoramabilder und Querschnittschichten umgewandelt werden. Mess- und Anmerkungswerkzeuge – wie die Funktion für die Darstellung des Mandibularkanals – tragen zur sicheren und präzisen Behandlungsplanung bei.
Hervorragende Kompatibilität mit anderen Systemen
Planmeca Romexis® zeichnet sich durch herausragend gute Kompatibilität mit anderen Systemen aus, sodass Sie das Programm in Ihrer Praxis oder Klinik in beliebiger Kombination mit Produkten anderer Hersteller verwenden können. Der TWAIN-Standard wird ebenso unterstützt wie der DICOM-Standard; so kann die flexible Software problemlos in die meisten Systeme integriert werden.

Das Modul Planmeca Romexis® 3D Implant Planning stellt für eine komplett digitale Implantologie alle notwendigen Werkzeuge bereit – von der Planung bis zu Bohrschablonen. Die Implantatbibliotheken der Software umfassen realistische Implantatmodelle sowie Hülsen für Bohrschablonen. Nach Abschluss der Implantatplanung kann sofort eine Bohrschablone mit einigen Klicks in derselben Software Planmeca Romexis® angefertigt werden.
Die Softwareplattform Planmeca Romexis® bietet die perfekte Umgebung
für eine Top-down-Implantatplanung. Durch die Überlagerung einer Krone und eines Zahnmodells mit den DVT-Daten kann der Benutzer ein vollständiges virtuelles Setup für die optimale Positionierung des Implantats erstellen – aus prothetischer und chirurgischer Perspektive.
Realistische Implantatmodelle von über 100 Herstellern:
Die vollständige und aktuelle Liste aller Implantate in der Romexis®-Implantatbibliothek ist auf planmeca.com/Romexisimplantlibrary verfügbar.
Top-down-Implantat-Arbeitsablauf:

Markieren Sie den Nerv auf der DVT-Aufnahme. Überlagern Sie den 3D-Modell-Scan mithilfe der Software Planmeca Romexis® mit der DVT-Aufnahme.

Verwenden Sie die Planmeca Romexis®-Kronenbibliothek oder importieren Sie eine patientenspezifische Krone aus einem CAD-System in die Software.

Wählen Sie das gewünschte Implantat und die Hülse aus der umfangreichen Planmeca Romexis®-Bibliothek und bestimmen Sie dafür die optimale Position aus prothetischer und chirurgischer Perspektive.

Entwerfen Sie die Implantatbohrschablone mit einigen Klicks in Planmeca Romexis® – die Software erstellt eine offene STL-Datei für den Entwurf. Romexis® ermöglicht das Design von zahn- und mukosagestützten Schablonen.

Drucken Sie die Bohrschablone mit dem Planmeca Creo™ C5 oder einem anderen 3D-Drucker aus.
Planmeca Romexis® bietet die flexibelsten Werkzeuge für die 2D-Bildgebung. Für die Bilddiagnose steht Ihnen eine umfassende Palette an Optimierungswerkzeugen zur Verfügung. Mit den mobilen Apps können Sie Aufnahmen auch jederzeit unterwegs betrachten. Diese flexible dentale Software für Bildgebung passt sich an Ihre Anforderungen an und lässt sich zusammen mit Ihrer Praxis in die dritte Dimension überführen.
Einfach und leistungsstark
Planmeca Romexis® ist die Software Ihrer Wahl, wenn es um die Betrachtung und Verarbeitung von 2D-Aufnahmen geht, die mit Röntgengeräten von Planmeca aufgenommen wurden. Leistungsstarke Optimierungs- und Analysewerkzeuge garantieren präzise Diagnosen in allen Fachbereichen, während die intuitive Benutzeroberfläche eine sichere und komfortable Bedienung ab dem ersten Tag garantiert.

Offen und kompatibel
Planmeca Romexis® speichert alle 2D-Patientenbilder in einer zentralen Datenbank – von Röntgenbildern über Fotos bis hin zu Videos. Alle Bilder sind sofort im Netzwerk verfügbar und können immer in Standardformaten exportiert werden.
Die Integration mit anderen Systemen ermöglicht Ihnen die uneingeschränkte Verwendung von Drittparteiprodukten in Ihrer Praxis. Durch TWAIN-Unterstützung und Konformität mit dem DICOM-Standard wird sichergestellt, dass die Software in die meisten Systeme integriert werden kann.

Integrierte Dokumentenverwaltung
Mit Romexis® ist es einfach, professionelle, qualitativ hochwertige und
mehrseitige Ausdrucke und Radiologieberichte zu erstellen und diese den
überweisenden Zahnärzten zuzusenden. Dokumente beliebiger Formate
können an Patientendateien angehängt werden, was eine bequeme Aufbewahrung von Fernröntgen-Durchzeichnungen, Überweisungen und
anderen relevanten Daten ermöglicht.
Exzellente Implantatplanung
Planmeca Romexis® stellt leistungsstarke Werkzeuge für die Planung von Implantatbehandlungen mit realistischen Implantatmodellen von über 100 Herstellern zur Verfügung. Die vollständige und aktuelle Liste ist auf planmeca.com/Romexisimplantlibrary verfügbar.
Vielseitige Möglichkeiten für die Kommunikation
Planmeca Romexis® Cloud ist ein hochmoderner Bildübertragungsservice für Romexis®-Softwarebenutzer. Er bietet eine schnelle, einfache und sichere Möglichkeit, Bilder und Fachwissen mit Patienten und Kollegen zu teilen.
Melden Sie sich auf online.planmeca.com an
und beginnen Sie jetzt mit der Bildübertragung.
Fälle mit der kostenlosen Anwendung Planmeca Romexis® Viewer erhalten
Planmeca Romexis® Viewer ist eine kostenlose, voll funktionsfähige Anwendung zur Betrachtung von Planmeca 2D- und 3D-Bildern. Die Anwendung kann zusammen mit Bildern aus der Planmeca Romexis®-Software übermittelt werden.
Besuchen Sie planmeca.com/de/Viewer, um die
Planmeca Romexis® Viewer-Software herunterzuladen.

Planmeca Romexis®-Benutzer

Planmeca Romexis® Cloud

Jeder Anwender an jedem Ort
Mehr Flexibilität mit Planmeca mRomexis™-App für Tablets
Mit Planmeca mRomexis™, der schnellen, einfachen und leichten Bildgebungs-App für mobile Endgeräte, können Sie auf alle Ihre Aufnahmen in der Romexis®-Datenbank über ein lokales Netzwerk zugreifen oder Aufnahmen auf Ihrem Tablet aufrufen. Sie können die App nutzen, um 2D-Röntgenaufnahmen mit Planmeca-Geräten zu erfassen oder um Fotos mit der Tablet-Kamera aufzunehmen.
Laden Sie die Planmeca mRomexis®-Anwendung für iOS und
Android aus dem App Store oder aus Google Play herunter.

Zugriff auf spezifische Gerätedaten durch Modul Planmeca Romexis® Clinic Management
Bringen Sie Ihre Praxis auf ein ganz neues Effizienzniveau mit Echtzeitinformationen. Die Software Romexis® Clinic Management bietet besondere Vorteile in Bezug auf Nutzbarkeit und Qualitätssicherung für lokale Benutzer, während Romexis® Insights die Fernüberwachung von überall aus ermöglicht. Alle Geräte von Planmeca können miteinander vernetzt werden, um wertvolle Daten über die Gerätenutzung zu erzeugen.
Die Planmeca Romexis®-Softwareplattform bietet vielseitige und intuitive Werkzeuge für verschiedene Ärzte und Fachgebiete. Sie unterstützen Zahnarztpraxen aller Art dabei, ihr volles Potenzial auszuschöpfen und die bestmögliche Behandlung zu gewährleisten. Das Romexis® 3D-Softwaremodul unterstützt alle 3D-Aufnahmearten.
Das Romexis® 3D-Softwaremodul ist eine ausgezeichnete Wahl für alle dentalen 3D-Bildgebungen, da es den Benutzern ermöglicht, DVT-Bilder, Oberflächenmodelle, 3D-Fotos und sogar 4D-Kieferbewegungsaufzeichnungen in einer Benutzeroberfläche zu verwalten. Das Modul ist ideal für eine optimierte und schnelle Bildbetrachtung geeignet und bietet alle notwendigen Werkzeuge für erweiterte Behandlungspläne und Analysen.
Das Romexis® 3D-Modul erfüllt alle Benutzerbedürfnisse, indem es fortschrittliche 3D-Bildgebungswerkzeuge bietet, die speziell für verschiedene Spezialgebiete und Bereiche der Zahnmedizin entwickelt worden sind – wie Kieferorthopädie, Prothetik, Implantologie, Endodontie, Kieferchirurgie und allgemeine Zahnmedizin.

Die 3D-Rendering-Ansicht der Romexis®-Software bietet einen sofortigen Überblick über die Anatomie des Patienten und ist ein hervorragendes Werkzeug zur Patientenaufklärung. Mit der Ansicht können Sie Bilder sofort in unterschiedlichen Projektionen ansehen oder die Bilder in Panoramaaufnahmen und Querschnittschichten umwandeln. Die Mess- und Anmerkungswerkzeuge der Software – wie die Funktion für die Markierung des Nervus mandibularis – tragen zusätzlich zur sicheren und präzisen Behandlungsplanung bei.
Romexis® bietet ein umfangreiches Werkzeug zur Segmentierung volumetrischer DVT-Daten. Das gesamte 3D-Bild kann in ein STL-Modell umgewandelt werden. Einzelne Zähne, die Ober- und Unterkiefer, Atemwege, Nebenhöhlen und Wurzeln können segmentiert, gespeichert und als STL-Dateien für die weitere kieferorthopädische oder prothetische Planung und den 3D-Druck exportiert werden.

Die Atemwege werden in Romexis® mit ein paar einfachen Klicks segmentiert. Die Software berechnet automatisch das Volumen und den Minimalbereich und visualisiert die Atemwege des Patienten mit leuchtenden Farben. Das Planmeca Ultra Low Dose™ DVT-Bildgebungsprotokoll ist auch für die Untersuchung der Atemwege die beste Wahl, da es eine signifikante Reduzierung der Patientendosis ohne statistische Beeinträchtigung der diagnostischen Bildqualität ermöglicht.
Mit dem Romexis® 3D-Modul können Sie 3D-Fotos visualisieren und analysieren – aufgenommen entweder mit der Planmeca ProFace®-Fotooption (verfügbar für alle Planmeca DVT-Bildgebungseinheiten) oder importiert aus anderen Quellen im standardmäßigen OBJ-Dateiformat. Die Fotos können mit den DVT-Bildern und digitalen Abdrücken in der Software zur Erstellung eines virtuellen Patienten in 3D überlagert werden – perfekt für Vorher-und-Nachher-Vergleiche, Behandlungssimulationen und Patientenaufklärung.
DVT-Bilder sind ideal für kieferorthopädische Diagnosen und die Romexis®-Software macht es einfach, die Skelettsymmetrie zu analysieren, retinierte und überzählige Zahnpositionen zu erkennen sowie die Wurzelresorption und -ausrichtung genau zu identifizieren. Die Software kann auch Fernröntgenaufnahmen und Panoramaansichten aus DVT-Bildern für Fernröntgenanalysen erstellen.
Schmerzen im Kiefergelenk (TMG) betreffen einen signifikanten Teil der Bevölkerung. Planmeca Romexis® bietet Ansichten, die speziell für die Untersuchung und Analyse von TMG-Beschwerden entwickelt worden sind. Beide Kiefergelenke eines Patienten können gleichzeitig in der Software mit präzisen Messungen ausgewertet werden.
Mit dem Planmeca Romexis® 3D-Modul können Sie zwei DVT-Aufnahmen flexibel überlagern. Dies erleichtert die Vorher-und-Nachher-Vergleiche und kann z. B. auch für Nachuntersuchungen bei orthognatischen Operationen oder kieferorthopädischen Behandlungen genutzt werden.
Alle 3D-Bildgebungseinheiten verfügen über einen speziellen hochauflösenden Modus mit 75 µm Voxelgröße, der speziell für die endodontische Bildgebung entwickelt wurde. In Kombination mit den überlegenen Visualisierungsfunktionen der Romexis®-Software ist der Modus ideal für die endodontische Diagnose und Patientenaufklärung. Wurzelkanäle, Traumata, Wurzelfrakturen und Wurzelresorptionen können einfach ausgewertet werden – was genaue Diagnosen und Behandlungspläne ermöglicht.


Jede Art von 3D-Daten in einem Standard-Dateiformat kann in Romexis® importiert oder aus Romexis® exportiert werden. Die Software ermöglicht es auch, volumetrische DICOM-Daten in ein Oberflächenmodell zu konvertieren und als STL-Datei zu exportieren. Sie können STL-Modelle (wie Scans, Kronen, Abutments, Atemwege und Nerven) entweder als eine Datei oder einzeln exportieren. Das 3D-Modul lässt sich auch in Software von Drittanbietern sowie in Laborportale und -service integrieren – so können Sie diese mit einem einzigen Klick starten und ihre Daten exportieren.
Die Umwandlung von DVT-Studien in mehrseitige Ausdrucke ist schnell erledigt und sie können zudem mit der kostenlosen Planmeca Romexis® Viewer-Anwendung für Windows und Mac geteilt werden. Die Fälle können auch problemlos an mobile Geräte gesendet und mit der Planmeca mRomexis™Bildgebungs-App für iOS und Android betrachtet werden. Der Austausch von Fällen mit Partnerpraxen ist wiederum mit dem Planmeca Romexis® Cloud -Bildübertragungsservice einfach.
Das Romexis® 3D-Modul lässt sich nahtlos zu einer kompletten Behandlungsplanungssoftware erweitern, mit der die Implantatplanung und die orthognatische Implantatplanung unterstützt werden. Mit den kompletten Implantat-Arbeitsablauf können Sie auch Bohrschablonen für die Implantatinsertion und Schienen für orthognatische Operationen zu entwerfen.

Die Planmeca Romexis® 3D-Software verfügt über zwei speziell auf die Implantologie ausgerichtete Untermodule – eines für die virtuelle Implantatplanung und eines für das Design von Bohrschablonen. Beide sind Erweiterungen des Romexis® 3D-Moduls und unterstützen dem Benutzer dabei, seinen voll digitalen Implantat-Arbeitsablauf zu optimieren.
Die Romexis®-Software enthält eine eine Implantatbibliothek mit realistischen Implantatmodellen von über 100 Herstellern. Mit dem implantatzentrierten Ansichtsmodus der Software ist es einfach, die optimale Position für ein Implantat zu finden. Romexis® warnt den Benutzer, wenn ein Implantat zu nahe an segmentierten Nachbarzähnen, dem Mandibularkanal oder einem anderen Implantat platziert wird. Ein Werkzeug zur Beurteilung der Qualität des Knochens um ein Implantat herum ist ebenfalls vorhanden.
Romexis® ist die perfekte Software für die prothetisch ausgerichtete Implantatplanung. Mit Romexis können Sie DVT-Bilder aufnehmen, Oberflächen scannen, virtuelle Kronen gestalten, alle bisherigen Daten abbilden und anschließend mit dem Behandlungsplan fortfahren. Die Software verfügt auch über eine generische Kronenbibliothek, falls keine individuell gestaltete Krone vorhanden ist. DICOM-Daten und STL-Dateien werden unterstützt und können ganz einfach aus den Systemen anderer Hersteller importiert werden.
Die Romexis®-Software erstellt automatisch einen PDF-Bericht zu einem Implantatplan und eine Gestaltungsanleitung mit allen Informationen, die für eine erfolgreiche Operation erforderlich sind. Der Bericht enthält das Modell und die Messungen des geplanten Implantats, das benutzergeführte OP-Set sowie den Hülsen- und Bohrertyp – mit übersichtlichen Bildern der Implantatpositionen.
Mit dem Romexis® Implant Guide-Modul können Sie in wenigen Schritten Bohrschablonen entwerfen. Die Software entwirft automatisch eine Schablone für den Bereich, der zuvor mit einem einfachen Lassowerkzeug definiert wurde. Die Schablone kann durch das Hinzufügen von Stützbügeln, Peak-Fenstern und aufgedruckten Text sowie durch das Löschen von nicht benötigtem Material weiter optimiert werden. Wurde ein Zahn vor der Implantatoperation entfernt, kann er mit der Software auch digital entfernt werden – der Patient muss also nicht erneut gescannt werden.
Mit dem Romexis® Implant Guide-Modul können Sie mit einem Klick mukosagestützte Schablonen erstellen. Die Software erkennt automatisch die Innenseite der Zahnprothese und erstellt daraus eine Schablone. Die Implantatbibliothek der Software enthält auch Fixierungsstifte verschiedener Hersteller, die vom Benutzer verwendet werden können.
Die mit der Romexis®-Software entworfenen Implantatbohrschablonen können nahtlos in 3D gedruckt werden. Sie können die vorprogrammierten Einstellungen der Software für die üblichenen 3D-Drucker verwenden oder eigene Druckereinstellungen erstellen. Sobald eine Implantatbohrschablone entworfen wurde, erstellt Romexis automatisch eine STL-Datei, die direkt an den neuen Planmeca Creo™ C5 oder einen anderen geeigneten 3D-Drucker gesendet werden kann.
Die fortschrittliche Planmeca Romexis®-Software bietet die vielseitigsten Werkzeuge für die 2D-Bildgebung. Für die Bilddiagnose stehen eine umfassende Palette an Optimierungswerkzeugen zur Verfügung. Mit den mobilen Apps können Sie Aufnahmen auch jederzeit unterwegs betrachten. Dieses flexible Softwarepaket für die dentale Bildgebung passt sich Ihren Anforderungen an.
Das Romexis®-2D-Bildgebungsmodul ist ideal für die schnelle und einfache Erfassung und Diagnose von Aufnahmen. Durch die anpassungsfähigen Vorverarbeitungsfilter der Software werden alle Röntgenbilder exakt wie vorgesehen aufgenommen – von Panorama- und intraoralen bis hin zu Fernröntgenaufnahmen.
Mit ihrer intuitiven Benutzeroberfläche gewährleistet die Software vom ersten Tag an eine hervorragende Benutzerfreundlichkeit und verfügt über leistungsstarke Werkzeuge zur Optimierung, Analyse und Diagnosen für alle Fachgebiete.

Von Bissflügelaufnahmen bis hin zu Zahnfilmbildvorlagen unterstützt Romexis® einen intelligenten Arbeitsablauf der intraoralen 2D-Bildgebung. Anpassbare Vorlagen ermöglichen die automatische Bestellung und Zahnnummerierung von Bildern. Bei Verwendung zusammen mit dem Planmeca ProX™-Intraoralröntgengerät und dem Planmeca ProSensor® HD-Intraoralsensor werden alle Belichtungswerte automatisch aufgezeichnet. Sensoren von Drittanbietern und PSP-Scanner können auch beim Einsatz eines TWAIN-Treibers verwendet werden.
Die Suche nach Bildern in der Romexis®-Datenbank kann nach dem Patientennamen, der Art der Diagnose oder dem Benutzer der Bildgebungseinheit erfolgen. Außerdem können professionelle, hochqualitative Ausdrucke und Röntgenberichte einfach erstellt und an überweisende Zahnärzte geschickt werden – inklusive Unterstützung mehrseitiger Ausdrucke. Sie können Anhänge zu Patientendateien, wie z. B. Überweisungen, flexibel hinzufügen.

Alle Patientenfotos, -videos und -dokumente können zusammen mit den aufgenommenen Röntgenbildern einwandfrei in der Romexis®-Datenbank gespeichert werden. Mit der Software können Sie Vorlagen und Patientenfotos erstellen sowie Standbildkameras oder Scanner durch die TWAIN-Schnittstelle verbinden.
Das Romexis® Radiological Findings-Modul ist das fortschrittlichste Werkzeug auf dem Markt für die Ausschussanalyse und Aufzeichnung von Befunden. Das Werkzeug ist besonders wertvoll für Bildungseinrichtungen, in denen es wichtig ist, dass alle Aufzeichnungen vereinheitlicht sind oder eine Ausschussanalyse vorgenommen wird. Die Befundliste ist hierarchisch gegliedert und kann frei bearbeitet werden.
Das Modul für 2D-Bildgebung ist das Rückgrat der Romexis®-Software, da es in allen Softwarepaketen enthalten ist. Module für Smile Design oder 3D-Bildgebung oder auch das CAD/CAM-Modul können jederzeit problemlos in die Software integriert werden – so können Sie Ihre Praxis flexibel in Ihrem eigenen Tempo nachrüsten.
Unsere offene Planmeca PlanCAD® Easy-Design-Software ist speziell für Zahnärzte entwickelt worden. Sie ist ein perfektes Werkzeug für das anspruchsvolle 3D-Design und -Planung in der Zahnklinik. Die Software ist intuitiv und schnell einsetzbar und ermöglicht das Design einer Vielzahl von prothetischer Arbeiten.
Planmeca PlanCAD Easy ist ideal für das automatisierte Design verschiedener prothetischer Arbeiten geeignet – von der Einzelkrone bis zur Vollbrücke. Mit benutzerfreundlichen Werkzeugen und Funktionen ist es einfach und angenehm, die Form und Ästhetik einer Restauration zu ändern.
Planmeca PlanCAD Easy ist ein integrierter Bestandteil unserer Romexis-Softwareplattform. Es ist nicht notwendig, zwischen verschiedenen Programmen zu wechseln, da Romexis mehrere Datentypen unterstützt und alle Vorgänge auf derselben Plattform stattfinden. Die Implantatplanung, das Design der Bohrschablone und andere Arbeitsabläufe werden reibungslos und effizient durchgeführt.


Mit dem Planmeca PlanCAD Easy können Sie entweder den gesamten restaurativen Arbeitsablauf sebst abschließen oder Teile davon flexibel mit Labors und anderen externen Partnern zu teilen. Da es sich um eine offene Software handelt, ist der Import und Export von Scans, Restaurationen und gesamten Fällen stets einfach.
Der neue Implantat-Workflow der Planmeca PlanCAD Easy-Software ist die ideale Lösung für effiziente Zahnarztpraxen/-kliniken. Er ermöglicht Ihnen das Design von Hybridabutment-Kronen sowie deren Herstellung am Behandlungsstuhl mit den Planmeca PlanMill®-Fräseinheiten.
Digitale Abdrücke sind der Weg in die Zukunft und das Planmeca Romexis® Model Analyser-Modul wurde entwickelt, um die Arbeit mit ihnen so einfach wie möglich zu gestalten. Das Modul bietet praktische Werkzeuge zur Visualisierung und Analyse digitaler Abdrücke und optimiert den Scan- und Versand-Verfahren für Planmeca-Intraoralscanner.
Das Romexis® Model Analyser-Modul ist für die Arbeit mit digitalen Abdrücken entwickelt wordeb. Es ist kompatibel mit den Planmeca Emerald™- und Planmeca PlanScan® -Intraoralscannern. Mit dem Modul können gescannte digitale Abdrücke problemlos an Drittanbieter gesendet werden.
Das Romexis® Model Analyser-Modul enthält wichtige Visualisierungswerkzeuge zur Untersuchung und Analyse von Zahnmodellen sowie Werkzeuge zur Markierung von Randlinien. Es stehen verschiedene Analysetypen zur Verfügung, wie z. B. Bolton und Space. Eine Okklusionsfarbkarte mit Kontakten und Abständen sowie dem Überbiss in sagittaler und vertikaler Ebene ist ebenfalls erhältlich.


Das Romexis® Model Analyser-Modul visualisiert digitale Zahnmodelle in fotorealistischen und leuchtenden Farben. Um die am besten geeignete Ansicht zu finden, können die Modelle aus verschiedenen Richtungen oder mit einem Mehrfachansichtswerkzeug untersucht werden, das alle Blickrichtungen in einer einzigen vereint.
Das Modul bietet eine Vielzahl von Messoptionen – wie Punkt-zu-Punkt-, Zahnbreiten- und Zahnbogenlängenmessungen. Der Vergleich digitaler Modelle ist mit der Software ebenfalls einfach, da die Modelle durch nebeneinander positionierte Visualisierung oder durch Überlagerung verglichen werden können.
Da das Romexis® Model Analyser-Modul den gesamten Scan- und Versand-Arbeitsablauf unterstützt, können Sie mit dem Modul digitale Modelle für den 3D-Druck erstellen, indem Sie die Modelle schließen und mit nur einem einfachen Klick eine Hohlbasis hinzufügen.
Mit dem Planmeca Romexis® Cloud-Bildübertragungsservice können Sie digitale Zahnmodelle sicher an Serviceanbieter oder Dentallabors zum Design oder Herstellung von Dentalapplikationen senden.

Als erstes zahnärztliches Bildablage- und Kommunikationssystem (PACS), das Bildarchivierung und Behandlungsplanung in einer einzigen Software ermöglicht, wurde Romexis® Dental PACS speziell für die Anforderungen von zahnärztlichen Gemeinschaftspraxen, Krankenhäusern und Universitäten entwickelt. Als eine geräteunabhängige und sichere Plattform vereinfacht das System die Arbeitsabläufe bei der Bildgebung selbst in komplexen Umgebungen.
Im Gegensatz zu anderen PACS ermöglicht Romexis® Dental PACS nicht nur die Betrachtung aller 2D- und 3D-Bilder, sondern auch die vollständige Behandlungsplanung in einer Software. Dadurch entfällt der Export von Bildern in eine separate Software zur 3D-Betrachtung oder Behandlungsplanung – was den Aufwand für Installation, Wartung und Erlernen unterschiedlicher Softwarelösungen erheblich reduziert.
Wenn Sie Bilder direkt vom Planmeca Romexis®-Server öffnen, werden alle Bilder als Miniaturansicht angezeigt werden, sodass Sie einfach und effizient auf das richtige Bild zugreifen können. Alle Bilder können auch als komprimierte DICOM-Dateien übertragen und archiviert werden, was die Zugriffsdauer noch weiter verkürzt.
Mit Romexis® Dental PACS lassen sich Bilder, die mit Röntgengeräten anderer Hersteller aufgenommen wurden, per DICOM-Speicherung archivieren. Der TWAIN-Standard ermöglicht außerdem die direkte 2D-Erfassung. Darüber hinaus können Sie mit der Romexis®-Software intraorale Scans im STL-Format aus Fremdsoftware im DICOM-Standardformat archivieren.
Die Romexis®-Software lässt sich für Bildgebungs-Arbeitsabläufe in unterschiedlichen IT-Umgebungen konfigurieren – sowohl in großen Einzelserver- als auch in synchronisierten Server-to-Server-Umgebungen.

Das Planmeca Romexis® Cephalometric Analysis-Softwaremodul ist das ultimative Werkzeug für die Durchführung von KFO-Analysen, chirurgischen Planungen und Behandlungsüberprüfungen in 2D. Von der Software profitieren Kieferorthopäden, Allgemeinzahnärzte und maxillofaziale Chirurgen.
Das Modul bietet leicht zu bedienende Werkzeuge, die eine schnelle und effiziente Bildanalyse ermöglichen. Die automatische Durchzeichnungsfunktion der Software identifiziert Referenzpunkte und Weichteilsilhouetten auf einer Fernröntgenaufnahme in Sekunden.
Mit Romexis® Cephalometric Analysis können Sie Behandlungen einfach weiterverfolgen, da die Software Röntgenbilder, Durchzeichnungen und Profilfotos aus verschiedenen Behandlungsphasen automatisch überlagert.
Mit dem Softwaremodul können Sie chirurgische und kieferorthopädische Behandlungen simulieren, indem Sie ein sichtbar gemachtes Fernröntgen-Behandlungsbild (VTO) mit einem Prognosebild erstellen.
Das Planmeca Romexis® 3D Ortho Studio-Modul bietet innovative Werkzeuge zur 3D-Behandlungsplanung für Kieferorthopäden und Dentallaboren. Die fortschrittliche kieferorthopädische Software ermöglicht die effiziente hausinterne Fertigung von klaren Aligner-Schienen.
Mit Romexis® 3D Ortho Studio können Sie digitale Dentalmodelle für Visualisierungs- und Planungszwecke auf verschiedene Weise erstellen und sie z. B. glätten und modellieren. Sie können auch Okklusionsanpassungen und kieferorthopädische Basisbefestigungen virtuell vornehmen.
Romexis® 3D Ortho Studio enthält Werkzeuge für einfache und bequeme kieferorthopädische Messungen – wie Punkt-zu-Punkt-, Zahnbogenlängen-, Zahnbreiten- und Silhouettenmessungen.


Sie können Kronen aus digitalen Zahnmodellen segmentieren und kieferorthopädische Behandlungen durch Bewegen und Drehen der Zähne simulieren. Verbessern Sie die Simulationen, indem Sie Wurzel- und Knochenoberflächen aus DVT-Bildern in Ihre Pläne einbinden und so die Wurzelbewegung während der Behandlungssimulationen verfolgen können.
Romexis® 3D Ortho Studio ermöglicht es Ihnen, Alinger-Modellreihen basierend auf der Behandlungssimulation auf einfache Weise zu erstellen. Die Modellreihen können im STL-Dateiformat exportiert werden, z. B. für hausinterne 3D-Druck der Alignermodelle.
Mit Romexis® 3D Ortho Studio können Sie den Fortschritt einer Behandlung genau verfolgen, da Patientenscans verschiedener Zeitpunkte problemlos mit Behandlungsplan-Modellreihen überlagert werden können.
Das Planmeca Romexis® CMF Surgery-Modul ist eine hochentwickelte Software zur Erstellung virtueller orthognatischer Operationsplanung. Es gibt dem Chirurgen die Möglichkeit, Fälle zu beurteilen und temporäre sowie endgültige Schienen basierend auf der angestrebten Okklusion und der Kieferposition zu erzeugen.
Romexis® CMF Surgery vereint alle notwendigen Werkzeuge zur Planung orthognatischer Behandlungen. Die Software generiert automatisch Schnittschablonen für die üblichsten Osteotomien wie LeFort 1, BSSO und Genioplastik.
Das Romexis® CMF Surgery-Softwaremodul verfügt über eine Messtabelle, mit der die Verfolgung anatomischer Orientierungspunkte und die Messung zwischen den Punkten während orthognatischen Behandlungssimulationen erleichtert werden.


Wenn der chirurgische Behandlungsplan abgeschlossen ist, können temporäre und finale Schienen einfach mit der Software konstruiert und flexibel als STL-Datei für den 3D-Druck exportiert werden.
Sie können Schienen, Implantatbohrschablonen und patientenspezifische Implantate bei unserem Planmeca ProModel™-Team direkt über das Romexis® CMF Surgery-Modul bestellen. Das Team unterstützt Chirurgen auch bei der gemeinsamen Planung der orthognatischen Behandlung in einer virtuellen Sitzung.
Unsere digitale Planmeca Romexis® Smile Design-Software ist ideal für die Simulation des Lächelns, Behandlungsplanung und effiziente Kommunikation. Die Anwendung ist sowohl für Mac als auch für Windows erhältlich und benötigt keine zusätzlichen Geräte oder Software, um zu funktionieren – sie bietet intuitive Werkzeuge zum Design eines schönen und natürlichen Lächelns beim ersten Patientenbesuch.
Romexis® Smile Design lässt sich schnell und einfach bedienen. Das Design eines Lächelns mit einem 2D-Gesichtsfoto und intelligenten Zahnsilhouetten dauert nur wenige Minuten. Mit der Software können Sie die Position, Form und Maße jedes einzelnen Zahnes individuell gestalten, um eine optimale Ästhetik und Einpassung zu erzielen.
Da ein Bild immer mehr als 1000 Worte sagt, erfolgen die Ermittlung und Erläuterung realistischer Erwartungen mit der Romexis® Smile Design-Software reibungslos. Wenn Patienten vor der Behandlung eine Visualisierung ihres neuen Lächelns sehen, können sie sich das Ergebnis von Anfang an vorstellen und werden in die Behandlung einbezogen.


Mit der Software können Sie leicht visuell und numerisch mit anderen Spezialisten und Dentallaboren kommunizieren, um die richtige Behandlungsoption für Ihre Patienten zu ermitteln und um sicherzustellen, dass die festgelegten Ziele immer erreicht werden.
Sie können fertige Smile Designs einfach in jede CAD/CAM-Software zur Vorstellung der Behandlungsoptionen und zur Umsetzung der Pläne exportieren. Das 2D-Design dient als visuelle Orientierungshilfe oder Referenz für die Erstellung von physikalischen Simulationen oder der endgültigen Restauration selbst.
Der Versand von Smile Designs erfolgt sicher und flexibel über den Planmeca Romexis® Cloud-Bildübertragungsservice oder die mobile Planmeca mRomexis™-Anwendung. Fertige Smile Designs zeigen das Gesicht des Patienten, das geplante Lächeln sowie die damit verbundenen Maße und können auch ein intraorales Bild beinhalten.
Planmeca bietet eine breite Palette von Begleitmaterialien, die den Benutzern helfen, Romexis® Smile Design auf eine bestmöglich Weise zu nutzen. Dazu gehören Lehrvideos, Webinare, Kurzanleitungen und Fallstudien.
Planmeca PlanCAD® Premium ist unsere herausragende Software für das Design von prothetischen Restaurationen. Die einfache Bedienung, die umfassende Auswahl an Indikationen und die Anpassungsfähigkeit an unterschiedliche Benutzerbedürfnisse machen die Software zu einem idealen Werkzeug für die Erstellung von hochwertigen prothetischen Arbeiten.
Mit Planmeca PlanCAD Premium können Sie ein breites Spektrum an Indikationen entwerfen – einschließlich Kronen- und Brückenkonstruktionen (Käppchen, anatomische Käppchen, monolithische Restaurationen, Gerüste), Inlays, Onlays, Veneers, Wax-up-Designs, Teleskopkronen, verschraubter und zementierter individueller Abutments, Implantatsteg- und Brückenkonstruktionen, Aufbissschienen und 3D-Druckmodellen.
Erleichtern Sie Ihren Designprozess erheblich, indem Sie benutzerfreundliche Werkzeuge mit außergewöhnlichen Funktionen für anspruchsvolle Anwendungen einsetzen. Planmeca PlanCAD Premium bietet eine große Auswahl an virtuellen Artikulatoren, wobei auch umfassende Implantatbibliotheken für das individuelle Abutmentdesign erhältlich sind.


Planmeca PlanCAD Premium kann für verschiedene professionelle Anforderungen angepasst werden. Sie können alle notwendigen Schritte mit einem geführten Assistenten durchführen und in den Expertenmodus der Software wechseln, wenn Sie mehr Freiheit und erweiterte Werkzeuge benötigen. Durch den modularen Aufbau wächst die Software mit Ihrem Betrieb – zusätzliche Indikationstypen und Funktionen können bei Bedarf aktiviert werden.
Das Potenzial von wirklich offenen STL-Daten liegt in der Möglichkeit, STL-Gitter ohne Einschränkungen zu importieren, zu exportieren und zu bearbeiten. Planmeca PlanCAD Premium ist ein offenes Werkzeugset für die Kreative – die Software gibt Ihnen die Freiheit, Daten aus verschiedenen Quellen ohne zusätzliche Kosten zu nutzen.
Planmeca PlanCAD Premium ist in hohem Maße in andere Planmeca-Produkte integriert. Die Integration der Software in unsere Intraoral- und Desktop-Scanner unterstützt einen reibungslosen und effizienten Arbeitsablauf. Fertige Designs können bequem mit den Planmeca PlanMill®-Fräseinheiten erstellt werden.
Planmeca 4D™ Jaw Motion ist das einzige DVT-integrierte System zur Verfolgung, Visualisierung und Analyse von Kieferbewegungen in 3D. Es bietet eine unvergleichliche Visualisierung der mandibulären 3D-Bewegungen in Echtzeit – eine vierte Dimension der Diagnostik.
Nach der Aufnahme eines DVT-Bilds mit einer Planmeca 3D-Einheit, wobei der Patient dedizierte Tracking-Geräte trägt, zeichnen die integrierten Planmeca ProFace®-Kameras die Unterkieferbewegungen im Verhältnis zum Oberkiefer auf.
Planmeca 4D™ Jaw Motion ermöglicht das Messen und Visualisierung der Bewegungsbahnen an vordefinierten Punkten in frontalen, sagittalen und axialen Bewegungsdiagrammen und in 3D.


Alle Bewegungen werden in Echtzeit in der Planmeca Romexis®-Bildgebungssoftware visualisiert. Sie können außerdem für eine spätere Analyse oder weitere Verwendung gespeichert werden.
Die Bewegungs- und Messdaten können einfach in eine Software eines Drittanbieters zur weiteren Analyse oder Behandlungsplanung exportiert werden. Sowohl XML- als auch CSV-Dateiformate werden unterstützt.
Planmeca 4D™ Jaw Motion visualisiert Bewegungen des Unterkiefers und der Kondylen. Das Modul kann dadurch ein unterstützendes Werkzeug für temporomandibuläre Untersuchungen (CMD), die präoperative Planung und postoperative Behandlungsüberprüfung sowie für die Artikulatorprogrammierung verwendet werden.
Planmeca mRomexis™, die vielseitige Bildgebungs-App für mobile Endgeräte, bietet Flexibilität bei der Bildbetrachtung und -erfassung. Durch neue Möglichkeiten bei der Kommunikation mit Patienten und bei klinischen Arbeitsabläufen erhöht sie die Leistungsfähigkeit der Planmeca Romexis®-Softwareplattform für die Zahnmedizin
Sie können mit Ihrer mobilen Planmeca mRomexis™-Anwendung auf alle Arten von auf dem Romexis® -Server gespeicherten Bildern zugreifen und betrachten. Sie können auch 2D- und 3D-Oberflächenmodelle auf einem Tablet speichern, um sie außerhalb Ihrer Praxis offline zu verwenden.
Planmeca mRomexis™ kann zur direkten Aufnahme von Röntgenbildern mit intraoralen, Panorama- und Fernröntgen-Bildgebungseinheiten von Planmeca verwendet werden. Die Bilder werden automatisch auf dem Romexis®-Server gespeichert. Neue Patienten können einfach über die Tablet-Schnittstelle zur Datenbank hinzugefügt werden.


Es ist unglaublich praktisch, 2D- und 3D-Bilder an die Patienten mit Planmeca mRomexis™ auf einem Tablet zu zeigen. Mit intuitiven Fingerbewegungen können Sie Bilder bearbeiten und Patienten und Kollegen auf die Ergebnisse mit einfachen Anmerkungswerkzeugen hinweisen.
Verwenden Sie Planmeca mRomexis™ zur Aufnahme von Patientenfotos mit der integrierten Kamera Ihres Tablets. Die Fotos werden automatisch auf dem Romexis®-Server gespeichert und stehen sofort für weitere Anwendungen wie die Patientenidentifikation oder das Smile Design-Modul zur Verfügung.
Planmeca mRomexis™ ermöglicht die Aufzeichnung von Sprachanmerkungen in 2D-Bildern über das Mikrofon des Tablets. Sie können sogar Anmerkungen hinzufügen, die verschiedene Punkte zu einem Bild hervorheben, während Sie sprechen.
Planmeca mRomexis™ funktioniert gut mit dem Planmeca Romexis® Cloud-Bildübertragungsservice zusammen. Die damit gesendeten 2D-Bilder können mit der mobilen Anwendung einfach empfangen und abgerufen werden.
Planmeca Romexis® Viewer ist die kostenlose, voll funktionsfähige Anwendung zur Betrachtung von Planmeca 2D- und 3D-Bildern. Die Anwendung kann zusammen mit Bildern aus der Planmeca Romexis®-Software übermittelt werden.
Planmeca Romexis® Viewer ist ein flexibles Instrument, die Spezialisten und Patienten bei der Untersuchung klinischer Aufnahmen unterstützen. Die Desktop-Anwendung ist eine einfachere Version von Romexis®, mit der Personen, die die Software nicht verwenden, 2D- und 3D-Bilder von Planmeca auf ihrem eigenen Computer betrachten können. Die Anwendung ist sowohl für Mac als auch für Windows verfügbar und muss zur Verwendung nicht installiert werden.

Planmeca Romexis® Cloud ist ein hochmoderner Bildübertragungsservice für Romexis®-Softwarebenutzer. Er bietet eine schnelle, einfache und sichere Möglichkeit, Bilder und Fachwissen mit Patienten und Kollegen zu teilen.
Mit Planmeca Romexis® Cloud können Sie Bilder und Fälle problemlos aus der Romexis® Software versenden. Sie können entweder direkt an andere Romexis® Benutzer oder an eine beliebige E-Mail-Adresse gesendet werden. Der Empfang und Herunterladen von Bildern ist kostenlos.
Romexis® Cloud ist nahtlos in die Romexis®-Softwareplattform integriert, was einen effizienten digitalen Arbeitsablauf unterstützt. Es ist bietet eine viel bequemere, effizientere und kostensparendere Art für die Übertragung von Bildern als DVDs und andere physische Formate.
Um den unterschiedlichen Nutzerbedürfnissen gerecht zu werden, bietet der Romexis® Cloud-Bildübertragungsservice drei verschiedene Abonnementoptionen – Gold, Silber und Bronze. Dabei stehen monatliche Übertragungsvolumina von 2,5, 10 und 50 Gigabyte zur Auswahl.
Die Bedeutung der Patientensicherheit kann nicht genug betont werden. Für höchste Sicherheit verwendet Romexis® Cloud eine 256-Bit-Verschlüsselung für alle Daten und Übertragungen – eine extrem sichere Technik, die für Außenstehende praktisch unmöglich zu hacken oder zu knacken ist.
Die Planmeca Romexis® Clinic Management-Software ist eine Lösung, die kein anderer Hersteller anbietet. Sie bietet Echtzeitinformationen sowie Überwachung der Gerätenutzung und -ereignisse, wobei auch Protokolle über die Nutzung aller Geräte enthalten sind. Alle verschiedenen Benutzer in einer Zahnarztpraxis können die einzigartigen Vorteile und Leistungen der Software nutzen.
Romexis® Clinic Management unterstützt Praxen dabei, die Effizienz zu messen, den Patientenwechsel zu maximieren und die Ressourcen zu optimieren. Die Software sammelt Daten über die gesamte Nutzung der digitalen Planmeca-Geräte und ist damit ein hochmodernes Werkzeug zur Überwachung der täglichen Arbeitsabläufe und der Qualitätssicherungsaktivitäten sowie zur Verwaltung des Praxisalltags.
Planmeca Romexis® Clinic Management bietet einzigartige Vorteile und Leistungen für alle Aspekte des Klinikbetriebs. Dadurch gestalten sich die täglichen Arbeitsabläufe Ihrer Mitarbeiter reibungsloser und effizienter.


Der webbasierte Planmeca Romexis® Insights-Berichtsdienst ist ein innovatives Werkzeug für Gemeinschaftspraxen, mit dem sie von betrieblichen Analysen profitieren können. Mit umfangreichen Daten und jederzeit verfügbaren interaktiven Dashboard-Ansichten kann operative Planung, Auswertung und vorbeugende Instandhaltung immer aufgrund übersichtlicher Nutzungsstatistiken erfolgen.
Jede Zahnpraxis generiert jeden Tag große Datenmengen. Romexis® Insights kombiniert diese Daten zu aussagekräftigen Ansichten, mit denen Sie den Klinikbetrieb zentral bewerten können. Erstmals können Führungskräfte von Echtzeitinformationen über Gerätenutzung profitieren – einschließlich eines umfassenden Nutzungsprotokolls und Statistiken von mehreren Praxisräumen.
Mit Romexis® Insights können Sie die Gerätenutzung sowie Trends und Muster im Zeitverlauf verfolgen. Sie können die Anzahl der Röntgen- und Fräseinheiten anzeigen und nach Aufnahmemodus oder Auftragsart kategorisieren. Für die Planmeca-Behandlungseinheiten stehen Statistiken zum Infektionsschutz zur Verfügung, wobei die Patientenzahlen und die Stuhlbelegungszeit auch für die Behandlungseinheiten mit Patientenerkennungssensoren enthalten sind.
Wenn Sie schon immer wissen wollten, was während der Behandlungen in Ihrer Praxis wirklich passiert, können Sie darauf jetzt zugreifen. Je früher Sie in Planmeca-Dentalgeräte investieren, die eine fortschrittliche Datenerfassung ermöglichen, desto schneller können Sie bessere Entscheidungen aufgrund der gewonnenen Erkenntnisse treffen. Entdecken Sie eine neue Betrachtungsweise Ihres Praxisbetriebs!
Mit der Version 6 hat Planmeca Romexis® komplett überarbeitet. Die Software überzeugt durch:
Um Romexis® 6 noch effizienter zu nutzen, bietet Planmeca zahlreiche Tutorial Videos mit Tipps und Tricks:

Verbessertes Design mit erhöhter Nutzerfreundlichkeit
Der Kontrast und die Größe von Symbolen und Texten wurde erhöht. Jetzt sind sie besser lesbar, leichter zu verstehen und einfacher anzuklicken. Außerdem wurde die Symbolauswahl vereinfacht. Wichtige Auswahlmöglichkeiten sind ab der Version 6 in hellblau gehalten.
Heller und dunkler UI-Modus
Die neue Version von Romexis® verfügt sowohl über einen hellen als auch einen dunklen Modus. Für Module, die Röntgenbilder verwenden, wie z. B. 2D- und 3D-Bildgebung, wird für einen besseren Kontrast der Dark-Mode verwendet.
Individuell konfigurierbare Symbolleisten und Werkzeuge
Die Symbolleisten und einzelnen Werkzeuge können in allen Modulen ausgeblendet werden. Dazu ganz einfach mit der rechten Maustaste auf das Menü, die obere Symbolleiste sowie die seitliche Symbolleiste klicken.
Sofortige Bildvorschau
In der Patientenliste sehen Sie dank der Vorschau alle Patientenbilder einschließlich 2D-, 3D- und Oberflächenmodellen nun auf einen Blick. Mit einem Klick können Sie die Bilder direkt aus der Vorschau öffnen.
Neue Bildaufnahmen starten
In der Patientenansicht starten Sie mit nur einem Rechtsklick neue Bildaufnahmen oder Scanvorgänge.
2D- und 3D-Bildgebung in einem Bildbrowser
Romexis 6 bringt 2D- und 3D-Bildgebung in einem einzigen Bildbrowser zusammen. Darin haben Sie alle Patientendaten, einschließlich 2D- und 3D-Bildern, CAD/CAM-Fällen, Romexis®Model Analyser-Fällen, Romexis®Smile Design-Fällen und Anhänge wie Videos und PDFs auf einen Blick. Der Bildbrowser bietet verschiedene Ansichtsmodi für Bildminiaturen. Die Bilder lassen sich ganz einfach nach Zahnnummer, Datum und Kategorie filtern.
Neue Aufnahmen starten
Neue Bildaufnahmen oder Scanvorgänge können Sie bequem über die obere Symbolleiste im Modul Patientenakte starten.
Reibungsloser Import und Export
Aus dem Patientenakten-Modul in Romexis® können Sie alle Arten von Bildern oder Daten importieren. Auch der Export aller Bilder im Originalformat aus dem Dateimodul klappt reibungslos.
Planmeca Solanna™ Vision
Mit der neuen Softwareversion Romexis® 6 kann nun die Operationsleuchte Planmeca Solanna ™ Vision in das Praxisnetzwerk integriert werden. Aufgenommene Bilder und Videos werden im 2D-Modul gespeichert. Fotos finden Sie unter der Fotokategorie und Videos unter Anhängen. Mit der Planmeca Solanna Vision aufgenommene Bilder können Sie auch im Romexis®Smile Design-Modul verwenden.
Bewegliche Pop-up-Fenster
Romexis 6 bietet eine neue Funktion: Bewegliche Pop-up-Fenster ermöglichen eine Gegenüberstellung von von 2D- und 3D-Aufnahmen in der Doppelbildschirm-Ansicht. Ein einfacher Doppelklick auf ein Bild öffnet es in einem neuen Fenster, das auf einen anderen Bildschirm gezogen werden kann.
Verbesserte Zahnstatus-Vorlagen
Dank vereinfachter Bildtitelleiste mit Datum und Zahnnummer sind die 2D-Zahnstatus-Vorlagen nun leichter anwendbar. Außerdem werden die Werkzeuge nur angezeigt, wenn Sie mit der Maus darüber fahren.
Erneuerter 2D-Bildbrowser
Der Bildbrowser im 2D-Modul wurde vereinfacht. Sie können Ihre Bilder in der Version 6 ganz einfach nach Zahnnummer, Datum und Kategorie filtern.
Modulnavigation mit neuen Schaltflächen
Über die Schaltflächen im oberen Teil des Bildschirms gelangen Sie jetzt leicht zu den 3D-Submodulen.
Neue Layoutoption im Explorer-Modul
Im Explorer-Modul gibt es eine neue zweistufige Maximierungsfunktion, mit der Sie eine Ansicht maximieren und gleichzeitig die anderen Ansichten beibehalten. Der zweite Klick auf das Maximierungssymbol maximiert die Ansicht auf die volle Größe. Mit dem dritten Klick kehren Sie zur Originalansicht zurück.
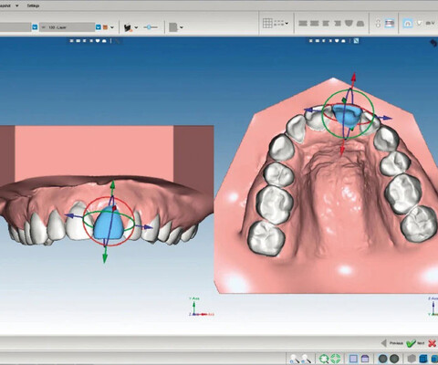
Crop-Schieberegler in der 3D-Rendering-Ansicht
Die 3D-Rendering-Ansicht verfügt über einen neuen Schieberegler, mit der Sie die Ansicht flexibel anpassen können. Darüber hinaus wurden der 3D-Rendering-Ansicht neue Schaltflächen für die schnelle Ausrichtung hinzugefügt.
Modell anpassen
Das Werkzeug zum Anpassen eines Modells finden Sie nun in der seitlichen Symbolleiste. Die Mausaktion wurde gegenüber früheren Romexis®-Versionen geändert: Das Klicken auf die übereinstimmenden Punkte kann mit einem Mausklick nach links und das Drehen mit einem Rechtsklick erfolgen.
Scan Body STL Export
Mit der Funktion "Objekte exportieren" können Sie die Scan-Abutments jetzt zusammen mit einem intraoralen Scan ins STL-Format exportieren. Der exportierte Scan und das Scan-Abutment können Sie beispielsweise zum Entwerfen von präoperativen Restaurationen verwenden.
Neues automatisches Werkzeug zum Ausrichten und Zuschneiden eines Bildes
Das Romexis ®Smile Design-Modul wurde um KI-basierte automatische Bildausschnitts- und Ausrichtungsfunktionen sowie verbesserte fotorealistische Simulationen erweitert. Das neue KI-basierte Tool verwendet die Iris des Patienten zum Ausrichten und Zuschneiden des Bildes sowie zum Positionieren der Zahnsilhouette.
Kurvenmesswerkzeug
Die neue Version Romexis® 6 verfügt jetzt über ein neues Messwerkzeug für dreidimensionale Kurvenmessungen mit zwei oder mehr Punkten – perfekt für die Messung des Gaumens!
Erstellung eines Laborbestellformulars
Laborbestellformulare können Sie ab sofort im PDF-Format mit der Funktion Laborbestellformular erstellen.
Später weiter scannen
In der Verison 6 können Sie mit dem neuen Romexis®Model Analyser später jederzeit weiter scannen.
Verwenden von Romexis® Model Analyser-Scans im CAD/CAM-Modul
Intraorale Scans, die im Romexis® Model Analyser-Modul gescannt wurden, sehen Sie auch automatisch in der CAD/CAM-Modulliste und können sie so ganz einfach zum Designen und Fräsen verwenden.
Verbesserter Import
In der neuen Version wurden die Import-Optionen unter einem einzigen Import-Button in der oberen Werkzeugleiste zusammengefasst.
TruAbutment Inc. Integration
Romexis® 6 bietet eine direkte Integration von TruAbutment-Aufträgen mithilfe der Romexis® Cloud.
Die neuen Workflow-Assistenten der Version 6 führen Sie Schritt für Schritt durch bestimmte Workflows und ermöglichen gleichzeitig die flexible Verwendung aller anderen Tools in der Software. Wenn Sie einen Assistenten verwenden, können Sie jederzeit entscheiden, auch andere Tools zu nutzen und dann zu den Schritten des Assistenten zurückkehren.
Implantatplanungs-Assisten
Der Assistent für die Implantatplanung leitet Sie bei der Durchführung einer Top-Down-Implantatplanung vom Öffnen des Bildes bis zum eigentlichen Design. Er enthält aktuelle Schaltflächen für Aktionen und kurze Tutorial-GIF-Videos, die Sie durch die einzelnen Schritte führen.
Smile Design-Workflow-Assistent
Der Smile Design-Workflow-Assistent führt Sie Schritt für Schritt durch einen Standardprozess für das Smile Design in Romexis® – vom Import eines Bildes bis zur der Erstellung eines Berichts.
DICOM-Import und -Export für STL / PLY / OBJ-Dateien
3D-Oberflächenmodelle können ab Version 6 gekapselt exportiert und importiert werden.
DICOM-Speicher für STL / PLY / OBJ-Dateien SCU (Romexis DICOM Full)
Ab sofort können Sie Oberflächenmodellen in einem DICOM PACS-Bildarchiv speichern. Das funktioniert ganz einfach mit der Schaltfläche DICOM-Speicher im 3D-Modul und mit der automatischen Speicherfunktion von DICOM in den Modulen 3D, Model Analyser und CAD/CAM.
DICOM-Speicher für STL / PLY / OBJ-Dateien SCP (Romexis DICOM Dental PACS)
Mit dieser Funktion können Oberflächenmodelle mit dem Befehl DICOM Storage in der Romexis®-Datenbank gespeichert werden.
Automatische Speicherung für mehrere Empfänger (Romexis DICOM Full)
Romexis® 6 verfügt auch über einen neuen Einrichtungsdialog für den automatischen DICOM-Speicher zum Senden an mehrere Empfänger und zum Angeben des Empfängers nach Bildtyp.
Unterstützung für Radiation Dose Structured Reporting (RDSR) für 2D-Bilder (Romexis DICOM Full)
Neues Erscheinungsbild
Romexis®Viewer überzeugt sowohl im Romexis Viewer-Starter als auch in der Romexis Viewer®-App ein neues Erscheinungsbild.
Neues Patientenakten-Modul
In der neuen Version verfügt der Romexis® Viewer über ein neues Modul, das alle Patientenbilder in Kategorien anzeigt.
Die neue Softwareversion umfasst unter anderem eine vollständige Neugestaltung der Benutzeroberfläche, die Visualisierung der intraoralen Scans im virtuellen Setup unter Verwendung von Echtfarben sowie die Aufnahme mehrerer Brackets-Hersteller in die Brackets-Bibliothek.
Neue Farben der grafischen Benutzeroberfläche und Neugestaltung von Symbolleisten und Symbolen
Die Farben des Romexis® Cephalometric Analysis-Moduls wurden angepasst und fügen sich nun gut in den Dark-Mode von Romexis® 6 ein. Alle Symbole und Symbolleisten wurden ebenfalls neu gestaltet, um die Benutzerfreundlichkeit zu verbessern.
Analyse der Wachstumsprognose von Ricketts
Die Wachstumsvorhersageanalyse von Ricketts wurde in das Untermodul Analyse implementiert und ist nun Teil desselben Dokuments wie Analyse und VTO.
Einzeldokument für kephalometrische Analyse, Wachstumsanalyse und kephalometrische VTOs
Kephalometrische Analysen, Wachstumsanalysen und kephalometrische VTOs werden jetzt im selben Dokument angezeigt.
Neue und aktualisierte Implantate, chirurgische Kits, Fixierungsstifte und Abutments
Sie interessieren sich für die Planmeca Romexis-Software und wollen Ihren Arbeitsalltag effizienter und angenehmer gestalten? Sie haben Fragen zu einem bestimmten Modul?
Unsere kompetenten Experten beraten Sie gerne!
Womit auch immer wir Ihnen beim Thema Planmeca Romexis weiterhelfen können – sprechen Sie uns an!
Kontakt – Planmeca: